弁膜症について

弁膜症

心臓には右心房・右心室・左心房・左心室の4つの部屋があります。全身で酸素を使われた静脈血は右心房に戻り、右心室に入って肺動脈を介し肺へと送られ、酸素の豊富な動脈血となって左心房へと戻ります。動脈血は左房から左室へ流入し、大動脈を介してまた全身へと送られます。こうした血液の流れは方向が決まっており、逆戻りを防ぐために各々の部屋には‘弁’がついています。右心房と右心室の間の弁は三尖弁、右心室と肺動脈の間は肺動脈弁、左心房と左心室の間は僧帽弁、そして左心室と大動脈の間に大動脈弁があります。心臓弁膜症は、これらの弁の機能不全の総称であり、きちんと閉まらなくなって逆流をおこすのが閉鎖不全症、柔軟に開かなくなるのは狭窄症と呼ばれます。自覚症状としては息切れ・むくみ・易疲労感・脈の乱れなどがあります。

弁膜症

弁膜症と心不全

心不全とは、心臓が悪いために、息切れやむくみが起こり、だんだん悪くなり、生命を縮める病気です。心不全はさまざまな心臓疾患が最終的に至る病気であり、弁膜症はその原因として重要なものの1つです。弁膜症は自覚症状がないまま進行する場合もありますが、放っておくと進行して心不全となる可能性があります。心臓弁膜症を早期に発見し、適切なタイミングで治療することが重要です。

弁膜症の検査

弁膜症の診断は、自覚症状が重要です。診察では、動悸・息切れ・疲れやすさなど、どの程度日常生活が制限されているかを問診します。さらに視診・触診を行って呼吸の状態や浮腫の有無を判断し、聴診により心雑音の有無と性状を確認します。弁膜症の検査は、胸部レントゲン写真・心電図・血液検査なども行いますが、なんといっても心エコー図検査は診断的価値が高いです。
心エコー図検査は体に害のない、痛みを伴わない検査です。どの弁が障害されているのかを特定し、その動きや狭窄・逆流の程度を診断します。同時に、心臓の部屋の大きさや機能を診断しますが、これらは治療方針に直結します。体に負担のない検査なので、治療後に繰り返し検査をして、どの程度改善しているかを評価することもできます。さらに、手術が必要な方には、心臓血管外科医が手術を行う際に必要となる様々な情報を提供します。

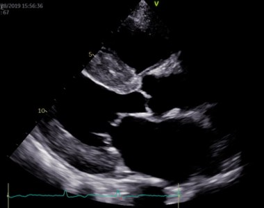
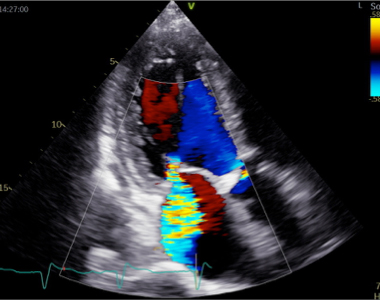
心エコー図検査

心臓の形や大きさ、動きの程度などが正確にわかります。
心臓の形や大きさ、動きの程度などが正確にわかります。
血流に色をつけて表示する技術により、速い血流や遅い血流、逆流の有無やその程度がわかります。
血流に色をつけて表示する技術により、速い血流や遅い血流、逆流の有無やその程度がわかります。

経食道心エコー図検査

経食道エコーでは、経胸壁からではわからないような細かい弁の異常や心内血栓を評価することができます。
近年、心臓外科手術の技術はますます向上しています。先進的な心臓外科手術に、経食道エコーは欠かすことのできない情報を提供するツールです。術前診断として弁の詳細な構造やその機能を評価し、手術デザインに役立てるとともに、手術中も経食道エコーを行って、外科治療の効果を迅速に診断します。

経食道エコーによる僧帽弁逸脱症の診断

リアルタイム3D画像。経食道エコーならでわの細かな弁構造を立体的に表示します。

心エコー図検査の新技術

最近のエコー装置は、高画質であるばかりでなく、得られた情報を自動認識して心機能を瞬時に定量化することで、検査時間を短縮し患者の方の負担を軽減します。さらに、従来は経食道エコーに限定されていたリアルタイムの3D表示が可能となり、これまで以上に詳細なデータを1回の検査で得ることができるようになりました。

経胸壁3D心エコー図検査

体の表面から行う通常の心エコー図検査でも、リアルタイムで3D画像を撮像できます。
陰影をつけることで、さらに説得力のある3D画像になります。