大動脈手術

大動脈瘤

大動脈瘤とはどのような病気でしょうか?

主に動脈硬化が原因となり大動脈の一部が瘤となる病気です。その瘤が徐々に大きくなるとそのうち破裂します。(多くの場合が助かりません)
破裂を予防するためには前もって手術治療が必要です。(内服治療のみでは瘤は小さくなりません)

大動脈瘤に対する外科治療

手術治療には、瘤を切り開いて人工血管に取り替える方法【人工血管置換術】と、瘤の中に金網付き人工血管(ステントグラフト)を通す【ステントグラフト内挿術】があります。

大動脈瘤に対する外科治療

大動脈解離

大動脈解離とはどのような病気でしょうか?

大動脈壁に裂け目が入り、壁が2枚に分かれてしまう病気で、元々の血液の通り道(真腔)に加えて新しく通り道(偽腔)ができてしまいます。

大動脈解離に対する外科治療

心臓の近くまで大動脈が裂けてしまう(A型)と命に関わるため緊急手術が必要です【人工血管置換術】。
心臓から遠い大動脈しか裂けていないとき(B型)は血圧を厳重に管理する治療【降圧保存療法】となります。しかし、腹痛や下肢痛などの症状があるときは緊急手術【ステントグラフト内挿術】が必要です。

 大動脈解離に対する外科治療

人工血管置換術

人工血管置換術とはどのような治療でしょうか?

胸やお腹を開けて、時には人工心肺を使用しながら瘤を直接切開し、人工血管に取り替えます。大きな創となり体への侵襲は大きくなりますが、瘤はなくなります。体力の回復は、日数を要します。

人工血管置換術

ステントグラフト内挿術

ステントグラフト内挿術とはどのような治療でしょうか?

小さな創で治療可能な血管内治療を行います。また、瘤自体は残りますが、退院後の外来通院中に瘤が小さくなることが期待できます。
行動範囲は手術翌日(もしくは数日後)から通常の生活が可能です。

  • 人工血管置換術とステントグラフト内挿術にはそれぞれ一長一短があります。年齢、瘤や解離の部位などを考慮してご相談の上、手術方法は選択します。
  • 手術室に透視装置を持ち込んだハイブリッド手術室にてステントグラフト内挿術は行います。
ステントグラフト内挿術

図は許可を受けたうえで転載しております。
著書名:インフォームドコンセントのための心臓・血管アトラス
著者:山科章、荻野均/出版社:トーアエイヨー

ハイブリッド手術室(OR)

ハイブリッド手術室(OR)
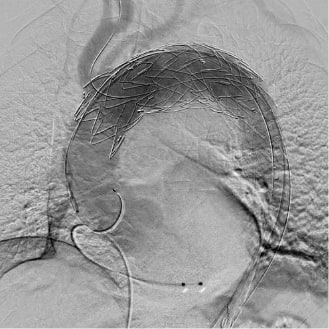
ステントグラフト挿入前
ステントグラフト挿入前
ステントグラフト挿入後
ステントグラフト挿入後
ステントグラフト挿入前CT
ステントグラフト挿入前CT
ステントグラフト挿入後CT
ステントグラフト挿入後CT

ハイブリッド手術室とは、手術台にX線血管撮影装置を組み合わせた手術室のことです。従来の手術に加えて血管カテーテル室で行われていた治療を組み合わせることにより、最適な治療を行うことが可能なシステムです。
当施設では、X線血管撮影装置としてフィリップス社製「Azurion7 C20 with FlexArm」を導入し、ハイブリッド手術室を構築しました。手術室と同じクリーン度を有しており、様々な手術に対応可能です。

大動脈手術では、このシステムを利用して積極的に低侵襲治療である血管内治療(ステントグラフト内挿術)を行っています。腹部大動脈瘤だけではなく、弓部に至る胸部大動脈瘤でも、外科的処置を併用したステントグラフト治療を行なっております。