X線CT装置
当院の320 slice CT (Aquilion ONE)
当院では320列CT装置を3台導入しております。
最新の装置は回転速度が向上した事に加えて、深層学習を応用した動き補正の技術も加わり、動きの速い冠動脈の描出能力が向上します。また、微細な構造が明瞭となる高精細な画像が得られる画像再構成法や表示方法によって、診断精度が向上する事が期待されます。さらに、様々な画像を構築するために用いられるワークステーションも一新し、画像処理スピードの向上に加えて、各種臓器の自動抽出技術やリアルな質感を表現する3次元画像など、作成される画像精度の向上にも寄与します。
CTが3台体制となり、当日の予約外検査や緊急検査についても速やかに対応し、迅速且つ精度の高い画像診断を提供致して参ります。
320列CTの特徴
- 撮影スピードが速く、拍動する心臓を鮮明に撮影できる
- 心臓全体が収まる16cmの範囲を1回転で撮影できるため、放射線被ばくを最大限に低減できる
- これまでのCT装置では撮影が難しかった不整脈や、息を止めるのが難しい場合でも、診断できる画像が得られる
- 石灰化やステントがあっても、特殊な撮影と解析技術によって影響なく評価できる
新たな技術
- CTで発見された冠動脈病変に対する治療の必要性を、コンピュータシミュレーションで解析できる
- 人工知能(AI)を用いた画像構築によって、さらに放射線被ばくを低減できる
- 2種類のX線による撮影(Dual Energy CT)が高速で可能となり、物質の特定や造影剤のコントラストの強調など、新たな画像診断への応用が可能である
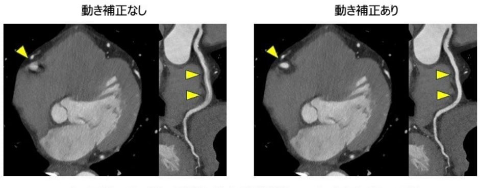
動き補正技術(CLEAR Motion Cardiac)
補正なしでは、動きの影響により冠動脈がブレてしまい評価できませんが、補正処理後の画像では、ブレがなくなり正確な評価が可能です。
1K(1024×1024)イメージ
512画像と比較して、1024画像ではステントや血管がよりシャープに描出されています。
リアルな質感を表現する3次元画像(レンブラント)
往来の3D画像に比べて、レンブラントによる3D画像では、光と影の表現を加えることで、組織の形状や質感が表現されています。
臓器の自動抽出機能:左心房と肺静脈の抽出(不整脈治療支援画像)
往来は造影CTから抽出していましたが、造影剤を使用しない単純CTからも自動的に抽出が可能となりました。
MRI
3.0テスラMRI:Ingenia Elition 3.0T(オランダ:フィリップス社)
当院では新たな3.0テスラMRI装置を導入しております。
アナログ部分を一切排除したフルデジタルMRI装置であり、新たな撮像技術も導入され、高速で高精度の画像が得られるシステムです。
MRI検査は、放射線被ばくがなく造影剤も使用せずに血管の描出ができる事から、造影剤ショックなどの重篤な副作用がある方や、腎機能低下により造影剤の使用ができない方も撮影可能です。
また、心筋梗塞や様々な心筋の病気を画像で評価するのに優れています。
この高速撮像技術によって、難しいとされる心臓MRI検査を精度高く行う事ができます。また、脳や全身血管などの他の領域の検査にも対応しています。
血管撮影装置
カテーテル室
Allura Clarity FD10/10(オランダ:フィリップス社)
Clarity FD 10(オランダ:フィリップス社)
当院には血管カテーテル室が2室あり、血管内治療や不整脈治療などが行われます。
複雑な治療になるほど時間も長くかかりますが、リアルタイムに動作し高画質を維持する画像処理技術によって、被ばく線量が最大限に低減され、安全に高度な治療が行えます。
ハイブリッド手術室(OR)
Azurion7 C20 with FlexArm(オランダ:フィリップス社)
当院のハイブリッド手術室には、室内を広範囲に移動可能な血管撮影装置を導入し、あらゆる手術にフレキシブルに対応できる環境を構築しました。
また、手術台(スウェーデン:ゲティンゲ社)と血管撮影装置が完全に連動しており、安全で確実な治療をサポートしています。
さらに、手術用照明器(ゲティンゲ社)や大型モニターに加え、医療機器の電源や医療用のガスの供給などは、すべて天井からの吊り下げ式ペンダント装置(ゲティンゲ社)を採用しており、衛生面にも配慮された環境となっています。
大動脈手術では、このシステムを利用して積極的に低侵襲治療である血管内治療(ステントグラフト内挿術)を行っています。
腹部大動脈瘤だけではなく、弓部に至る胸部大動脈瘤でも、外科的処置を併用したステントグラフト治療も行なっております。
また、ペースメーカーや除細動機能のあるデバイス植え込み治療なども、手術室の高い清潔環境の下で行っております。
超音波検査装置
Vivid E95(2台)(アメリカ:GEヘルスケア社)
当院では、循環器用エコー診断装置の最新モデル Vivid E95を導入しています。エコー検査は苦痛がなく繰り返し行うことができるため、心臓や血管疾患の診断、治療の効果判定などに広く応用されています。この装置は、画像診断装置の中で唯一、リアルタイムに心臓の構造を3Dで表示することができ、また全身の血液の流れを評価する特別な機能を搭載しています。
さらにこうした高精度の画像を自動で認識する技術を備え、心血管疾患の診断治療をサポートするのはもちろん、検査時間の短縮により患者の方々の負担も軽減します。
EPIQ 7G, Affiniti 70G (2台) (オランダ:フィリップス社)
心臓のみならず大動脈や頸部血管、下肢の動脈および静脈の評価など、多彩な部位の検査が可能です。特に拍動している心臓を明瞭に観察するために、立体画像をリアルタイムに観察可能な4Dシステムも導入しています。これは、経食道エコーでも可能であり、より詳細な心臓構造を評価する事ができます。
全身麻酔装置
Carestation 650(3台)(アメリカ:GEヘルスケア社)
心臓・血管・不整脈の手術を受けられる場合、手術が安全に行えるように、大部分の手術で全身麻酔を行っています。
全身麻酔をかけるのに必要な医療機器が全身麻酔装置です。全身麻酔装置には酸素や吸入麻酔薬の気化器と人工呼吸器が備わっています。
手術中は麻酔科医が麻酔薬の投与量を調整したり、人工呼吸器を設定して、患者の方の麻酔・呼吸管理を行っています。
当院の全身麻酔装置は様々な換気方法を選択することが可能で、患者の方の心臓や肺の状態に合わせた麻酔・呼吸管理を実施しています。
人工心肺装置
心臓外科手術では、心臓を切開するなど心臓内部や大動脈などの手術を行います。症例によっては心臓が拍動していたり心臓内に血液がある状態だと手術が困難であり、その為一時的に心臓を止めて手術を行わなければなりません。手術中の心臓を止めている間、人工心肺装置は、酸素を十分に含んだ血液を全身に送り出す心臓と肺の機能を代用する医療機器です。
メラ人工心肺装置HASⅢ(泉工医科工業株式会社)
当院ではMade in Japanの最新型人工心肺装置を採用しております。医師の指示の下、臨床工学技士が操作し心臓手術をサポートしています。採用している最新型人工心肺装置は、Jasect(日本体外循環技術医学会)の安全装置設置基準(第6版)に準拠することはもとより、更により安全・安心して人工心肺操作を出来るよう自動制御機構も付加されており、停電時などの緊急事態のバックアップ機構も十分装備されています。1950年代より人工心肺下での心臓外科手術が世界や日本国内でも始まり半世紀以上が経過しております。現在進行形として、人工心肺装置は心臓外科手術が日々安全で確実に行われるようサポートしている重要な医療機器の1つです。
APS1(テルモ株式会社)
APS1は米国人工心肺装置の歴史あるSarnsブランドを受け継ぐ装置です。CCMと呼ばれる中央の大型タッチパネルで患者の方の情報を一元管理しつつ、同時に操作も行えるため、刻々と変わる患者の方の状況をいち早く把握し、適切に対処できる点が特長です。
また各ポンプのレイアウトも自由に変更可能で、各病院、各手術室の状況やニーズに合わせ適切なレイアウトが構成できます。安全性においてもIEC3rd対応にて、電気・電子機器における国際規格に準拠しております。更にバッテリーも無停電バックアップで最低1時間の稼働を可能としており、万が一の緊急事態を想定した設計となっております。
